Ästhetische Zahnmedizin
Schöne Zähne steigern Ihr Selbstbewußtsein und Ihre Lebensfreude. Im Rahmen unserer ästhetischen Zahnheilkunde sind wir gerne bereit, Ihnen die Restaurationen aus unserem deutschen Meisterlabor individuell herstellen zu lassen
Sie als Patient bekommen im Rahmen der ästhetischen Zahnheilkunde folgendes
Keramik-Inlay
Zahnschmuck
Keramische Verblendschalen
Vollkeramischer Zahnersatz
Kompositfüllung in Mehrschichttechnik
- Bleaching (Bleichen von Zähnen)
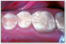
Kompositfüllung in Mehrschichttechnik
Die Komposit-Füllungen werden weiterhin mit einem modernen Adhäsivsystem (Mehrschicht-Ätz–Bonding-Klebetechnik) verarbeitet, was natürlich zeitaufwendig ist. Das Ergebnis ist den Aufwand wert, denn dafür bekommen Sie biokompatible, umweltfreundliche, langlebige, ästhetische und vor allem, eine von natürlichen Zähnen kaum zu unterscheidende, Kunststoff-Füllung.
Keramische Verblendschalen
Keramikschalen für schöne Frontzähne. Verfärbte, verdrehte oder abgesplitterte Zähne im Frontzahnbereich können mit Veneers korrigiert werden. Veneers sind hauchdünne, lichtdurch- lässige Keramik-Verblendschalen in der natürlichen Zahnfarbe, die auf dem leicht an- geschliffenen Zahn befestigt werden (ähnlich wie ein künstlicher Fingernagel). Vorteil gegenüber Kronen: es geht kaum wertvolle Zahnsubstanz verloren. Mit einem zahn- medizinischen Spezialklebstoff haften die Veneers auf dem Zahnschmelz sicher und dauerhaft.
Keramik-Inlay
Keramik-Inlay
Parodontitis
Parodontitis ist die entzündliche Erkrankung des Zahnhaltapparates, wie dem Zahnfleisch, der Knochen, das Bindegewebe oder die Wurzelhaut. Im Alter über 40 Jahre ist sie der häufigste Grund für den Zahnverlust.
Unbehandelte Paraodonditis führt zum Knochenverlust und am Ende zum Zahnverlust.
Die an der Entzündung beteiligten Bakterien können auch in den Blutkreislauf gelangen und somit andere Organe, wie z.B. das Herz, schädigen. Die Ursache von Mundgeruch ist in vielen Fällen Parodontitis und Zahnfleischentzündung.
Neben einer regelmäßigen und guten häuslichen Mundhygiene, ist die professionelle Zahnreinigung durch unser Praxisteam, eine wichtige Ergänzung zur Erhaltung gesunder Zähne und dem Zahnhalteapparat.
- Was ist Parodontitis?
- Welche Behandlungsschritte sind erforderlich?
- Wie lässt sich das Behandlungsresultat sichern?
- Was kann ich selbst gegen Parodontitis vorsorgen?
Parodontitis ist eine entzündliche Erkrankung des zahnumgebenden Gewebes, des sogenannten Zahnhalteapparates. Ab dem 40. Lebensjahr ist Parodontitis die häufigste Ursache für den Zahnverlust. Eine beginnende Parodontitis ist schmerzfrei, beginnend mit einer höheren Blutungsneigung, Schwellungen des Zahnfleisches sowie mit Mundgeruch. Am parodontalen Zerstörungsprozess sind spezielle Bakterien in den Zahnfleischtaschen beteiligt.
Um den Schweregrad und die Aggressivität der Erkrankung zu erkennen, können z.B. folgende Untersuchungen im Mund hierüber Aufschluss geben:
- Blutungstest
- Messung der Zahnfleischtaschen
- Bakteriologischer Test
Durch die Parodontalbehandlung wird das Gewebe, welches die Zahnwurzel umschließt, in einen entzündungsfreien Zustand versetzt und ein fortschreitender Abbau des Parodontium gebremst.
Parodontitis ist eine chronische Erkrankung, die eine lebensbegleitende Betreuung erfordert. Wichtig sind regelmäßige Kontrolltermine und eine dauerhafte und optimale häusliche Mundhygiene.
Der beste Schutz vor Zahnfleischerkrankungen ist die regelmäßige Mundhygiene und das regelmäßige Putzen der Zähne. Zusätzlich müssen die Zahnzwischenräume mit Zahnseide und Interdentalbürsten gereinigt werden. Selbstverständlich gehören regelmäßige Zahnarztbesuche und PZR (Professionelle Zahnreinigung) zu einer optimalen Vorsorge dazu
Implantologie
Implantate werden heute als moderne Alternative zu herkömmlichem Zahnersatz verwendet.
Patienten mit Implantaten haben folgende Vorteile
- Schönere Zähne
- Keine Schwierigkeiten beim Essen
- sowie beim Sprechen
- Keine Haftprobleme und Druckstellen im Mund
Viele Träger herkömmlicher Zahnprothesen können hiervon nur träumen!
Wir pflanzen das Implantat bei einem ambulanten Eingriff in den Ober- und Unterkiefer unter örtlicher Betäubung ein.
Zahnimplantat
Zahnimplantate bieten Ihnen eine sichere und zuverlässige Methode für den Zahnersatz, gleichgültig, ob Sie einen oder mehrere Zähne verloren haben.
Implantat-Vorgänge
Fragen und Antworten
Ein Zahnimplantat besteht aus Titan und sieht aus wie ein Schraube. Titan ist ein Metall, das von unserem Körper akzeptiert wird. Zudem kann das Knochengewebe sehr dicht an das Titan heranwachsen.
- Es wird im Knochen verankert.
- Es kann für verschiedene Indikationen wie Kronen, Brücken und Prothesen genutzt werden.
Eine lokale Betäubung verhindert die Schmerzen während der Operation. In den meisten Fällen reichen übliche Schmerzmittel danach aus.
Ja. Mit einem Zahnimplantat müssen Sie keine gesunden Zähne opfern, um die fehlenden Zähne zu ersetzen.
Nein. Nur Ihre Gesundheit ist entscheidend. Bei Patienten unter 18 muss sichergestellt sein, dass das Knochenwachstum abgeschlossen ist.
In der Regel reicht ein normales Lokalanästhetikum aus.
Die meisten Patienten sind in der Lage, am nächsten Tag wieder Ihrer Arbeit nachgehen zu können.
Es ist sehr empfehlenswert, dass Rauchen einzustellen. Rauchen stört den Heilungsprozess und kann die Langzeitprognose verringern.



Amalgamsanierung
Im Seitenzahnbereich wird in der Regel Amalgam als Füllungsmaterial verwendet. Diese Vorgehensweise ist in den Richtlinien des zuständigen Bundesausschusses der Zahnärzte und der Krankenkassen, § 14 Bundesmantelvertrag, geregelt.
Bei Patienten mit nachgewiesenen Unverträglichkeiten gegen Amalgam oder eines seiner Bestandteile, können die vorhandenen Füllungen auf Kosten der Krankenkassen, durch alternatives Füllungsmaterial ersetzt werden.
Folgende alternative Füllungsmaterialien können wir Ihnen anbieten:
- Keramik inlay und onlay
- Composit
- Keramik Kronen
Haben Sie Fragen zur Amalgamsanierung oder zu alternativen Füllungsmaterialien? Wir beraten Sie gerne bei der Wahl einer geeigeten Füllung!
Amalgamfüllung
Amalgamfüllung
Bleaching
Verfärbte Zähne bedeuten immer einen ästehtischen Verlust. Zähne werden im Laufe der Jahre dunkler. Tee, Kaffee, Nikotin, oder Rotwein führen zu diesen Verfärbungen. Durch die PZR (Prophylaxe und professionelle Zahnreinigung) können diese Spuren beseitigt werden.
Allgemeinerkrankungen und auch Zahnbildungsstörungen im Kindesalter, aber auch bestimmte Medikamente können Zahnverfärbungen
Bei diesem Verfahren wird in eine speziell und individuell angefertigte Bleischiene ein Bleichmaterial eingelegt und über Nach getragen.
Bei toten und wurzelgefüllten Zähnen wird die bleichende Substanz für einige Tage in den verfärbten Zahn gefüllt. Unter Umständen muss das Präparat einige Male erneuert werden.
Vorher
Nachehr
Endodontie (Wurzelkanalbehandlung)
Die häufigste Ursache für eine Zahnmarkentzündung ist eine tiefe Karies, feine Risse an der Zahnkrone, eine Unfallverletzung oder andauernde Fehlbelastungen.
Bei starken, pulsartigen Zahnschmerzen kann entzündetes Zahnmark oder eine entzündete Zahnwurzel der Grund sein. Bei einer Wurzelkanalbehandlung werden Nerven und Blutgefäße des Zahnes entfernt und die Wurzelkanäle mit desinfizierender Flüssigkeit gesäubert und gefüllt.
In unserer Praxis werden Sie mit modernsten Instrumenten (z.B. Ruypex 5 für elektrische Längenbestimmung des Kanals mit geringer Strahlungsbelastung) behandelt.
Hochwertiger Zahnersatz
Zahnlücken sind nicht schön und bringen auch die Nachbarzähne in Unordnung. Wir versorgen Sie mit hochwertigem Zahnersatz. Hierzu nutzen wir modernste Technologie und die besten Werkstoffe.
Dem Gegenzahn fehlt der Druck, somit besteht die Gefahr, dass die Nachbarzähne beginnen zu wandern, aufgrund des fehlenden Zahnes in der Zahnreihe. Es kommt zu Fehlbelastungen, die chronische Kopfschmerzen zur Folge haben können.
Ein festsitzender Zahnersatz wird fest auf die betroffenen Zähne zementiert und geklebt.
Kronen
Einzelkronen werden angefertigt, wenn ein Zahn so zerstört ist, dass eine Füllung oder ein Inlay keinen Halt mehr hat. Kronen können unterschiedlichen Materialien hergestellt werden:
Vollkeramik, Gold, Stahl, Metall-Keramik.
Brücken
Bei Brücken werden die Zähne rechts und links der Zahnlücke überkront und miteinander verbunden. Das Verbindungsteil ist geformt wie der fehlende Zahn und ersetzt diesen.
Gegossene Klammerprothese
Der einfachste Weg, fehlende Zähne an den noch Verbliebenen zu befestigen, ist die Klammerprothese. Dabei werden entweder gebogene Drahtklammern oder Gussklammern aus Stahl verwendet. Bei der Klammerprothese, häufig auch Modellgussprothese genannt, erfolgt die Verankerung der Teilprothese mittels Klammerns.
und im Mund (links)
Nachteile der Klammerprothese:
- Anfängliches Fremdkörpergefühl
- Spürbare, geringere Beweglichkeit der Prothese beim Kauen
- Abbau, Rückgang des Kieferknochens, schlechterer Sitz der Prothese im Laufe der Jahre.
Es lagern sich mehr Beläge und Speisereste unter die Prothese. - Nachlassende Klammerspannung, Lockerung der Prothese
- Zahnsteinbildung, insbesondere bei nicht ausreichender Prothesenpflege
- Auftreten von Rissen, Sprüngen, Brüchen der Prothese
- Karies an den Klammerzähnen, insbesondere bei nicht ausreichender Zahn- und Zwischenraumpflege
Fehlen mehrere Zähne, sodass keine Brücke angefertigt werden kann, sollte ein herausnehmbarer Zahnersatz verwendet werden. Dabei dienen die noch im Kiefer vorhandenen Zähne als Haltepfeiler für den Prothesenteil.
Die Verbindung der Elemente erfolgt im einfachsten Fall über Metallklammern, was allerdings nicht optimal hinsichtlich der Ästhetik, dem sicheren Halt und der Funktion ist. Meist wird daher ein festsitzender mit einem herausnehmbaren Zahnersatz kombiniert.
Geschiebe-Prothese:
Durch eine Geschiebeverankerung ist es möglich, herausnehmbaren Zahnersatz ohne Klammer an haltgebenden Zähnen zu befestigen. Dafür ist ein Überkronen der entsprechenden Zähne notwendig, bei denen seitlich oder an der Rückseite eine Nut eingearbeitet wird (Matrize), in die das passende Gegenstück (Patrize), an der zu verankernden Prothese eingeklickt werden kann.
Teleskop-Prothese:
Diese populäre Art der klammerfreien Prothese erreicht ihren Halt durch Reibungshaftung zwischen ineinanderlaufenden Innen- und Außenkronen. Teleskope können auch auf rein implantatgetragenen Zähnen oder auf einer Kombination von Zähnen und Implantaten eingesetzt werden.






Prophylaxe
Zur Vorbeugung gegen Karies reicht regelmäßiges Zähneputzen allein nicht aus. Deshalb bieten wir Ihnen ergänzend zur häuslichen Zahnplege sinnvolle Prohylaxemaßnahmen an
Die Hauptursache von Karies und Parodontitis sind bakterielle Zahnbeläge. Mit einer PZR werden sämtliche harte und weiche Beläge und Bakterien beseitigt. Karies und Zahnbetterkrankungen werden damit effektiv vorgebeugt.
Zahnzwischenräume und Zahnfleischtaschen sind die schwierigsten Bereiche beim Zähneputzen, da sie schlecht erreichbar sind. Im Rahmen der PZR, werden Verfärbungen durch Tee, Kaffee oder Zigarettenkondensat, durch Einsatz von Spezialinstrumenten wie z.B. eines Pulverstrahlgerätes, entfernt.
Nach Entfernung der Hartbeläge werden verschiedene Handinstrumente, wie kleine Bürsten zur Entfernung von Weichablagerung, benutzt. Da Bakterien sich an rauhen Stellen und in Nischen festsetzen, folgt eine Politur mit verschiedenen Polierpasten um die Zähne zu glätten
Am Ende werden die gereinigten Zahnflächen mit einem Fluorid-Lack überzogen.
Für Patienten ohne Parodontitis (Zahnbetterkrankungen) und hohem Kariesrisiko sollte idealerweise alle sechs Monate eine PZR zur Ergänzung des gründlichen Putzens zu Hause, durchgeführt werden.
Zum Zeitpunkt der professionellen Zahnreinigung sollte kein Zahnstein vorhanden sein. Alle notwendigen Maßnahmen zur persönlichen Mundpflege sollten besprochen, eingeübt und täglich angewendet werden. Die Verfärbungen und weichen Beläge können mit Handinstrumenten und/oder verschiedenen maschinellen Methoden entfernt werden. Gängige Methoden sind das „Abrütteln“ mit Ultraschallgeräten, das „feine Sandstrahlen“ mit Salz-/Pulver-Wasserstrahl-Gemischen oder das „Abschleifen“ mit feinsten Schmirgelstreifen oder -scheiben.
Wichtig ist die Entscheidung für ein möglichst schonendes Verfahren, bei dem keine oder kaum wertvolle Zahnhärtesubstanz abgetragen wird. Solche „sanften“ Methoden können unter Umständen zeitaufwändiger sein als „aggressivere“, schnellere Techniken.
Nach der Reinigung sind die Zahnoberflächen etwas angeraut. Damit sich nicht so schnell neue Beläge und Verfärbungen ablagern können, erfolgt abschließend eine Politur. Dazu können unter anderem Polierstreifen, Polierscheiben, Gummikelche, Bürstchen und Polierpasten eingesetzt werden. Nun fühlen sich alle Zahnoberflächen wieder glatter an und sehen sauberer aus.
Zähne vor der PZR
Zähne vor der PZR
Behandlung von Angstpatienten
Laut Studien haben 60 – 80 % aller Menschen Angst vor dem Gang zum Zahnarzt. 20 % von Ihnen sind besonders ängstlich und fünf Prozent haben so große Furcht vor einer Behandlung, dass Sie den Besuch beim Zahnarzt ganz vermeiden.
Gehören Sie zu den Patienten, denen der Besuch beim Zahnarzt schwer fällt? Dann laden wir Sie hiermit zu einem Informationsrundgang und einem persönlichen Gespräch in unsere Praxis ein. Gemeinsam finden wir eine individuelle Lösung, um Ihnen den Gang zum Zahnarzt zu erleichtern.
Bei Patienten mit einer massiven Zahnarztphobie bieten wir auch eine Behandlung unter Vollnarkose an. Zu unserem Praxisteam gehört ein erfahrener Anästhesist, welcher die Behandlung unter Vollnarkose betreut und eine schmerzfreie Zahnbehandlung ermöglicht.