Unsere Listungen
Schöne Zähne steigern Ihr Selbstbewußtsein und Ihre Lebensfreude.
Ästhetische Zahnmedizin
Ein schönes Lächeln stärkt das Selbstbewusstsein und erhöht die Lebensfreude.
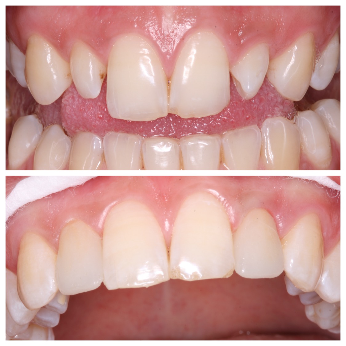
Vollkeramische Verblendungsschal
Verblendungsschalen (Veneers) sind dünne Keramikschalen, die auf die Frontzähne geklebt werden, um Farbe, Form und kleine Fehlstellungen zu korrigieren.
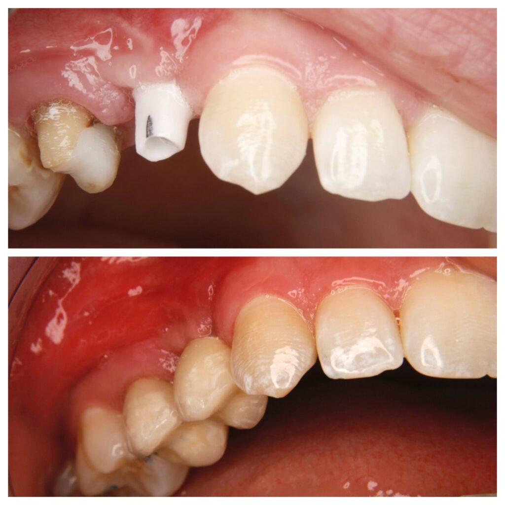
Implantatgetragenen Einzelkrone
Ein Implantat ersetzt einen verlorenen Zahn auf schonende Weise. Die Nachbarzähne müssen nicht beschliffen werden und bleiben vollständig erhalten.
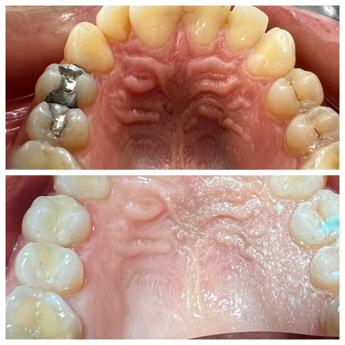
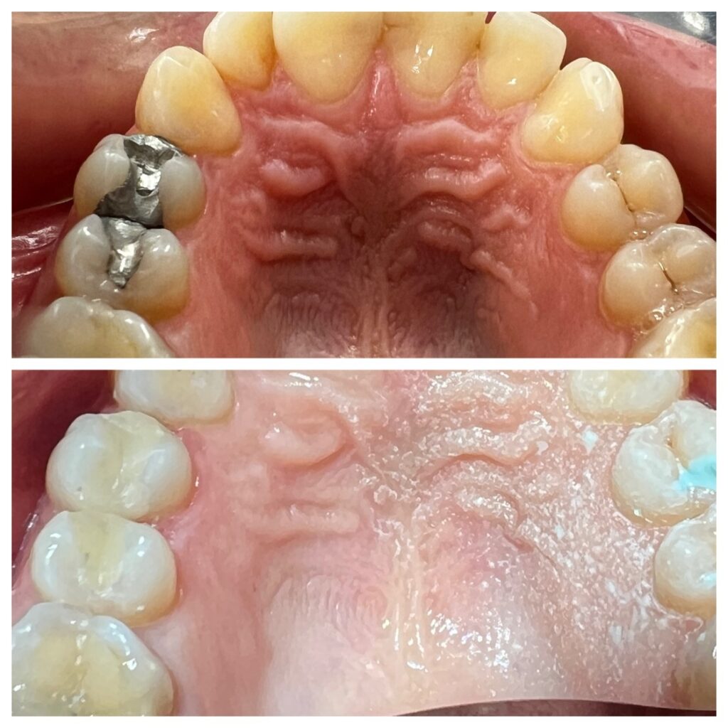
Amalgamsanierung
Im Rahmen der Amalgamsanierung tauschen wir alte Amalgamfüllungen mit moderner Technick aus. Dabei ersetzen wir sie durch hochwertige Kompositfüllungen, die gut verträglich sid und die Gesundheit unserer patient:innen unterstützen.
Implantatgetragene herausnehmbare Prothese
Eine implantatgetragene herausnehmbare Prothese bietet einen sicheren und stabilen Halt.
Sie sitzt fest im Mund, verbessert den Kaukomfort deutlich und gibt den Patientinnen und Patienten mehr Selbstbewusstsein im Alltag.
Professionelle Zahnreinigung
Die PZR (professionelle Zahnreinigung) trägt wesentlich zum Erhalt gesunder Zähne und eines gesunden Zahnfleisches bei.
Wir stehen für moderne Zahnmedizin, einfühlsame Betreuung und höchste Qualitätsstandards.
Ästätische Zahnmedizin
Ein schönes Lächeln stärkt das Selbstbewusstsein und erhöht die Lebensfreude.
- Es wirkt sympathisch und positiv auf andere Menschen.
- Es trägt zu mehr Lebensfreude und Wohlbefinden bei.
- Ein schönes Lächeln stärkt das Selbstbewusstsein im Alltag.
Vollkeramische Verblendungsschal
Verblendungsschalen (Veneers) sind dünne Keramikschalen, die auf die Frontzähne geklebt werden, um Farbe, Form und kleine Fehlstellungen zu korrigieren.
- Veneers sorgen für ein gleichmäßiges und ästhetisches Zahnbild.
- Sie ermöglichen eine schnelle und schonende Verschönerung der Frontzähne.
- Das Ergebnis ist ein natürlich wirkendes, harmonisches Lächeln.
Implantatgetragenen Einzelkrone
Ein Implantat ersetzt einen verlorenen Zahn auf schonende Weise. Die Nachbarzähne müssen nicht beschliffen werden und bleiben vollständig erhalten.
- Ein Implantat bietet einen festen und langlebigen Zahnersatz.
- Es fühlt sich wie ein natürlicher Zahn an und sorgt für hohen Kaukomfort.
- Zudem trägt es zum Erhalt des Kieferknochens bei.
Amalgamsanierung
Im Rahmen der Amalgamsanierung tauschen wir alte Amalgamfüllungen mit moderner Technick aus. Dabei ersetzen wir sie durch hochwertige Kompositfüllungen, die gut verträglich sid und die Gesundheit unserer patient:innen unterstützen.
- Bei der Amalgamsanierung werden alte Amalgamfüllungen schonend entfernt.
- Sie werden durch moderne, hochwertige Kompositfüllungen ersetzt.
- Diese sind gut verträglich und unterstützen die langfristige Zahngesundheit.
Implantatgetragene herausnehmbare Prothese
Eine implantatgetragene herausnehmbare Prothese bietet einen sicheren und stabilen Halt.
Sie sitzt fest im Mund, verbessert den Kaukomfort deutlich und gibt den Patientinnen und Patienten mehr Selbstbewusstsein im Alltag.
- Eine implantatgetragene herausnehmbare Prothese bietet einen sicheren und stabilen Halt.
- Sie sitzt fest im Mund und verbessert den Kaukomfort deutlich.
- Dadurch gewinnen Patientinnen und Patienten mehr Sicherheit und Selbstbewusstsein im Alltag.
